スポーツリハビリテーション治療

SPORTS

スポーツでの怪我で
お困りの方へ

スポーツのケガで悩む方を支えるため、当院ではスポーツ外傷・障害に特化した診療を行っています。
数多くの競技現場でのサポート経験と豊富な臨床経験をもとに、部活動を頑張る学生から中高年のスポーツ愛好家、プロアスリートまで、各自の競技レベルや目標に合わせた最適な治療プランをご提案します。
“スポーツのケガをあきらめない”という信念のもと、早期回復・再発予防・競技復帰まで、しっかりと寄り添いながらサポートいたします。

当院のスポーツ外来では、
医師・理学療法士が連携して
診療を行っております。

正確な診断(必要に応じてMRIなどの画像検査など)

スポーツ種目に合わせたリハビリ

競技復帰までの段階的なサポート

ケガの再発予防・フォーム指導

「ケガを治す」だけでなく、「ケガの前よりも動ける体をつくる」ことを目指します。 「動くときに少し違和感がある」「痛みが出るけど我慢している」 そんなときは、早めの受診がおすすめです。

POLICY

スポーツ診療の方針

①選手に寄り添う丁寧なコミュニケーション

私たちは、ひとりひとりの選手の声に耳を傾け、心に寄り添う診療を大切にしています。安心して競技復帰を目指せるよう、信頼関係を築くことを第一に考えています。

スポーツリハビリの様子
スポーツリハビリの様子

②「怪我前よりも強くなる」リハビリを目指す

怪我の原因を明確にし、再発予防と体機能の向上を重視したリハビリを行います。競技復帰のときには「以前よりも自分の体が良くなった」と感じていただけるよう全力でサポートします。

当院にはスポーツドクターが在籍しております。 各競技の特性に合わせたリスクなどを見定め、 それに即した治療とリハビリテーションを提供して復帰への道筋を描きます。

詳しくは、担当医表を
ご確認ください。

適切な治療には、
きちんとした検査が必要です。
当院ではより充実した診断・治療のため、
【MRI検査】を積極的に取り入れています。

X線画像
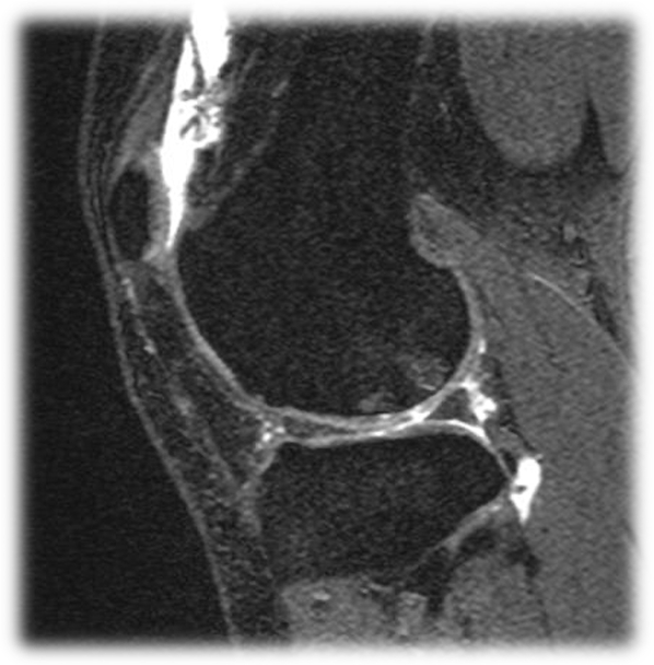
MRI画像

X線画像には写らない、ひざ軟骨の確認にはMRI検査がかかせません。
MRI画像の白く光っている部分が傷ついた軟骨です。

脊椎や関節(特に膝や肩関節)の痛み・疾患には、
MRI検査をお勧めさせていただきます。

MRI検査を追加で行った場合
1割負担1,900円
2割負担3,800円
3割負担5,700円
カスタムメイドインソール

カスタムメイドインソール
(足底装具)

カスタムメイドインソールは、足の形状や荷重バランスを確認し、一人ひとり に合わせて作製するインソール(足底装具)です。 変形性膝関節症では、歩行時の足部の状態や下肢のバランスが、膝への負担に 影響すると考えられています。当院では、医師の診察・評価に基づき、膝への 負担軽減を目的の一つとして、治療の選択肢として提案しています。 義肢装具製作所と連携し、足の状態や使用状況を踏まえて、日常生活やスポー ツ活動に配慮したインソールを作製します。 なお、カスタムメイドインソール(足底装具)は、医師が治療上必要と判断し た場合、健康保険が適用されることがありますので、詳しくは診察の際に医師 にご相談ください。

FEATURES

スポーツ
リハビリテーションの特徴

スポーツをやっている画像
選手の動作を分析し、患部に負担がかかるメカニズムを考え、 その原因を徒手療法、物理療法、運動療法で改善を目指します。
スポーツに精通したスタッフが在籍しているので、選手の寄り添った対応が可能です(AT資格、スポーツ現場でトレーナー活動を行っているスタッフが多数在籍)。

REHABILITATION

具体的なスポーツリハビリテーション
(投球障害肩)

PROCESS1:フォーム指導

PROCESS1:フォーム指導

PROCESS2:評価 1

PROCESS2:評価 1

PROCESS2:評価 2

PROCESS2:評価 2

PROCESS2:評価 3

PROCESS2:評価 3

PROCESS3:評価の説明

PROCESS3:評価の説明

PROCESS4:治療

PROCESS4:治療

PROCESS5:トレーニング1

PROCESS5:トレーニング1

PROCESS5:トレーニング2

PROCESS5:トレーニング2

PROCESS6:フォーム指導

PROCESS6:フォーム指導

その他のスポーツ
リハビリテーション

テーピング

テーピング

持久力トレーニング

持久力トレーニング

ホグレルマシン

ホグレルマシン

パワープレートトレーニング

パワープレートトレーニング

INSTRUMENTS

治療機器・トレーニング機器

当院では、患者さんひとりひとりの症状や目的に応じて、さまざまな治療機器や運動補助機器をリハビリの一部として活用しています。
安全性と効果を両立できるよう、すべての機器は理学療法士の管理のもとで使用しており、無理のない範囲でご案内いたします。ここでは、実際に使用している主な機器と、それぞれの目的・特徴についてご紹介します。

01. ホグレル HOGREL

日常生活動作やスポーツ動作に必要な動作を複数の機器を用いて分節的にトレーニングする事ができます。
機器の負荷は軽めで同一方向の運動を繰り返すため、安全で過負荷にならないように関節可動域を拡大させる機器です。

ACTIVITYRESULTS

トレーナー活動実績

Soccer

  • エスポラーダ北海道
  • ・2023 - 2024

BTOP北海道

  • ・2023 - 2024 リーグ優勝
  • ・鹿児島国体4位

SSS札幌ジュニアユース

  • ・第32回日本クラブユース選手権大会U15
  • ・高円宮杯第29回全日本ユースU15サッカー選手権大会
  • ・JFA第25回全日本U15フットサル選手権大会
  • ・第36回日本クラブユース選手権大会U15
  • ・JFA第29回全日本U15フットサル選手権大会
  • ・第36回日本クラブユース選手権大会U15
  • ・第28回日本クラブユース選手権大会U15

そのほかのサポートチーム
札幌大谷大学サッカー部、札幌トレセンU16、 札幌トレセンU13U14

Baseball

  • 北照高校野球部
  • ・第100回全国高等学校野球選手権大会
  • クラーク記念国際高校
  • ・第95回選抜高等学校野球大会
  • ・第96回選抜高等学校野球大会
  • ・第105回全国高等学校野球選手権大会

そのほかのサポートチーム
札幌光星高校野球部、札幌東陵高校野球部、 中の島ファイターズ、札幌倶楽部

Rugby

  • ・山の手高校ラグビー部
  • ・全国高等学校ラグビーフットボール大会
  • ・札幌南高校ラグビー部

Basketball

  • ・2024年国スポーツ 佐賀大会
  • ・北海道代表 少年女子
  • ・クーガーズ

SPORTS INJURIES

スポーツ疾患

野球

  • ・肩関節インピンジメント症候群
  • ・投球障害肩(野球肩)
  • ・腱板損傷
  • ・肘内側側副靭帯損傷(野球肘)
  • ・離断性骨軟骨炎(肘)
  • ・腰椎分離症

サッカー

  • •前十字靭帯損傷(ACL損傷)
  • •半月板損傷
  • •肉離れ(ハムストリング、大腿四頭筋など)
  • •グロインペイン症候群
  • •足関節捻挫
  • •疲労骨折(脛骨、中足骨など)

バスケットボール

  • •突き指(指関節捻挫)
  • •指関節脱臼
  • •膝蓋腱炎(ジャンパー膝)
  • •アキレス腱炎
  • •アキレス腱断裂
  • •腰椎分離症
  • •足関節捻挫

バレーボール

  • •突き指(指関節捻挫)
  • •指関節脱臼
  • •肩関節インピンジメント症候群
  • •膝蓋腱炎(ジャンパー膝)
  • •足関節捻挫
  • •腰痛症

テニス・バドミントン

  • •腱板炎
  • •肩関節不安定症
  • •上腕骨外側上顆炎(テニス肘)
  • •上腕骨内側上顆炎(ゴルフ肘)
  • •膝蓋腱炎
  • •足関節捻挫
  • •アキレス腱炎

陸上競技

  • •腸脛靭帯炎(ランナー膝)
  • •シンスプリント(脛骨過労性骨膜炎)
  • •疲労骨折(脛骨・中足骨など)
  • •肉離れ(ハムストリングス・大腿四頭筋など)
  • •アキレス腱炎
  • •足底筋膜炎

ラグビー

  • •頸椎捻挫(むち打ち)
  • •肩関節脱臼
  • •肩鎖関節脱臼
  • •前十字靭帯損傷(ACL損傷)
  • •内側側副靭帯損傷(MCL損傷)
  • •肉離れ(ハムストリングス・大腿四頭筋など)
  • •肋骨骨折

アイスホッケー

  • •肩関節脱臼
  • •鎖骨骨折
  • •手関節骨折
  • •指関節脱臼
  • •前十字靭帯損傷(ACL損傷)
  • •内側側副靭帯損傷(MCL損傷)
  • •半月板損傷
  • •足関節捻挫
  • •股関節周囲炎
  • •腰痛症

柔道

  • •頸椎捻挫(むち打ち)
  • •肩関節脱臼
  • •反復性肩関節亜脱臼
  • •肩鎖関節捻挫
  • •肘関節靭帯損傷
  • •前十字靭帯損傷(ACL損傷)
  • •半月板損傷
  • •膝関節靭帯損傷
  • •足関節靭帯損傷
  • •骨折(肋骨・手指など)

その他診療案内は
こちらをご覧ください

みつわ整形外科クリニック

ご不明な点はお気軽に
お問い合わせください

受付時間:月曜〜金曜 
9:00〜12:00 / 14:00〜17:00